口腔正畸技术

  现代口腔正畸技术,可以使牙列不齐的儿童或成人达到正常人一样的牙齿,整齐漂亮。自然美观,2013年我们开展了隐形矫正取得理想的效果


치아 교정     

현대적인 치아 교정기술을 이용하여     치아발달이 불규칙한 어린이나 성인의 치아가     아름답고 고른 건강한 치아가 되도록 만들어 준다

 

image053.jpg

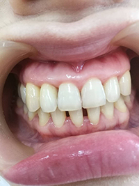
牙列不齐矫正

  image054.jpg

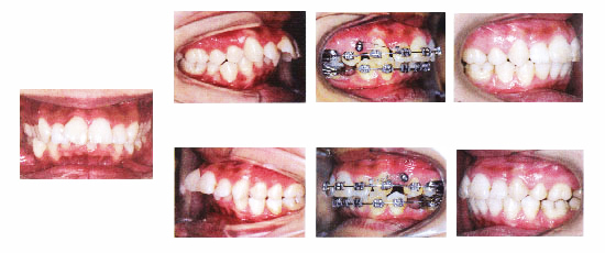
牙列不齐矫正


1.jpg2.jpg

隐形矫正病例