牙齿美容

  普通烤瓷牙、仿真烤瓷牙、仿真全瓷牙、全瓷贴面、光固化修复。丹东市口腔医院清花园门诊部,让你的牙齿美白自然。


사기 치아 

보통 사기치아, 티탄 사기치아, 전부 사기치아, 희금속 사기치아 등이 있다.


image010.jpg

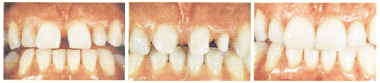
普通烤瓷牙

image011.jpg

仿真烤瓷牙

  image012.jpg

仿真烤瓷牙

  image013.jpg

全瓷修复

 image014.jpg 

全瓷修复

  image015.jpg

全瓷修复

  image016.jpg

瓷贴面修复

  image017.jpg

瓷贴面修复

  image018.jpg

光固化树脂修复

  

光固化树脂修复